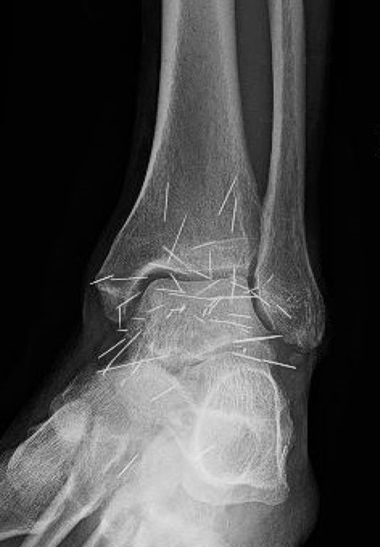
A 65-year-old woman from South Korea went to doctors for severe joint pain, and her X-ray ended up showing something very strange. The scan revealed hundreds of small gold needles left inside her knee tissue, and it stunned the medical team who looked at it.
She had been living with osteoarthritis for years, which breaks down cartilage and bone in the joints. The usual painkillers and anti-inflammatory drugs did not help her and actually caused stomach problems, so she turned to acupuncture instead.

Acupuncture uses thin needles placed in certain points on the body to ease pain. In her case the doctors said the gold needles were left inside on purpose, the idea being to give constant stimulation to the painful area.
Experts warn that leaving anything foreign in the body is risky. One doctor explained: “The human body doesn’t like foreign material. It reacts with defense mechanisms, starting with inflammation and forming fibrous tissue around the object.”
There are more dangers too. If needles stay in the tissue they can block medical scans. The doctor also said: “They can obscure parts of the anatomy on an X ray.” He added that if a patient with metal fragments ever has an MRI, the magnets could make the pieces move and maybe even cut blood vessels.
Even with these risks, acupuncture is still popular in many countries, especially for arthritis and joint pain. In South Korea and some other parts of Asia, treatments with gold threads or needles are considered routine, even though there is not much scientific proof that they really work.

The procedure has even gained a smaller following in the United States, with millions trying acupuncture for relief. The case of this woman was written up in the New England Journal of Medicine as a warning that sometimes these extreme treatments can go too far.
Doctors say people should be very careful before choosing these kinds of alternative treatments. What may look harmless or even helpful at first could end up creating dangerous problems later on.